Mga Serbisyo at FQA

Mga Bentahe ng Cobalt-Chromium Framework (Co Cr Framework)

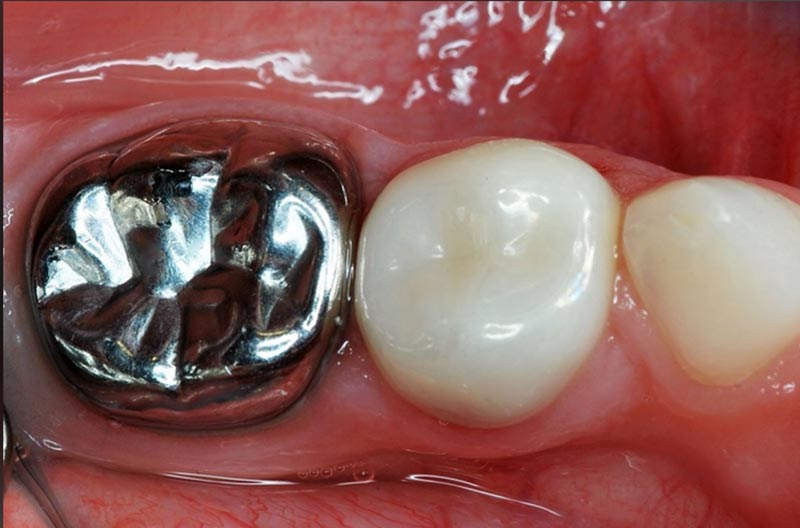
1. Supernatural na hugis at kulay ng ngipin:Porcelain-Fused-to-Metal(PFM) na mga korona na may Cobalt-Chromium Framework (Co Cr Framework) ay may aesthetic na hugis, at ang epekto nito ay halos magkapareho sa natural na ngipin. Sa lahat ng kasalukuyang pustiso, pagdating sa aesthetics at authenticity, ang mga korona ng PFM na may Cobalt-Chromium Framework ay isang mahusay na pagpipilian. Dahil sa napakataas na wear resistance ng mga PFM crown na ito, bihirang mangyari ang deformation, at ang pagpapanatili ng kulay ng mga ito ay stable, na ginagawang hindi madaling mawala ang kulay — ang katangiang ito ay lubos ding kinikilala ng Chinese dental lab at WM dental lab sa mga restoration project ng Cobalt-Chromium Framework Try-in (Co Cr Framework try in). Kapag ang dalawang lab ay nagsagawa ng angkop at pagsasaayos ng Cobalt-Chromium Framework Try-in, madalas nilang ginagawa ang katangiang ito bilang isang mahalagang pamantayan sa pagsusuri.

2. Mataas na lakas ng masticatory force: Sa ngayon, ang sigla ng mga tao para sa masasarap na pagkain ay tumataas araw-araw, at ang kahalagahan ng pagpapanumbalik ng ngipin ay nakasalalay sa pagbibigay-daan sa mga tao na mas masiyahan sa pagkain. Sa malakas na masticatory power ng PFM crowns na nagtatampok ng cobalt-chromium framework, mararamdaman muli ng mga indibidwal kung ano ang pakiramdam ng kumain ng may tunay na ngipin, at hindi nila kailangang mag-alala tungkol sa mga sira ng ngipin.

3. Mahusay na pagganap ng sealing para sa mas mahusay na proteksyon ng mga natural na ngipin: Sa pangkalahatan, ang mga korona ng PFM na may Cobalt-Chromium Framework na may mahusay na pagganap ng sealing ay maaaring pigilan ang mga nalalabi sa pagkain na tumagos at maiwasan ang kaagnasan ng mga natural na ngipin. Ang mataas na kalidad na mga korona ng PFM na may Cobalt-Chromium Framework ay maaaring ganap na masakop ang mga natural na ngipin, at ang pagkakabukod ng porcelain layer ay maaari ding maprotektahan ang mga natural na ngipin. Sa panahon ng pagnguya, kumikilos ang puwersa sa korona, na ginagawang mas malamang na mangyari ang pagkasira ng ngipin. Ang bentahe sa sealing na ito ay isa rin sa mga pangunahing dahilan kung bakit madalas na ginagamit ng Chinese dental lab at WM dental lab ang Cobalt-Chromium Framework. Lalo na sa proseso ng pag-angkop ng Cobalt-Chromium Framework Try-in (Co Cr Framework try in), ang dalawang lab ay tututuon sa pagsuri sa akma sa pagitan ng Cobalt-Chromium Framework Try-in at ng mga ngipin upang higit na mapahusay ang epekto ng sealing.

4. Proteksyon sa matigas na tisyu ng ngipin at sapal ng ngipin: Ang mga ngipin na nangangailangan ng mga korona ng PFM ay kadalasang may mga problema sa pagkawalan ng kulay o depekto. Matapos magawa ang korona ng PFM, ang natural na ngipin ay ipapaloob sa loob nito. Sa oras na ito, ang bonded porcelain layer ng Cobalt-Chromium Framework ay maaaring gumanap ng isang mahusay na insulating role, na naghihiwalay sa panlabas na stimuli at pinsala sa dental pulp. Sa pang-araw-araw na produksyon, mahigpit na kinokontrol ng Chinese dental lab at WM dental lab ang proseso ng paggawa ng porcelain layer, at nalalapat din ang pamantayang ito sa paggawa ngTry-in ng Cobalt-Chromium Framework(Subukan ng Co Cr Framework) — makakamit ng dalawang lab ang tumpak na pagpoproseso ng Cobalt-Chromium Framework Try-in upang matiyak ang kakayahang umangkop nito sa layer ng porselana at natural na mga ngipin, sa gayon ay mapakinabangan ang proteksyon ng matigas na tissue ng ngipin at pulp ng ngipin.

Cobalt-Chromium Framework Try-inCobalt-Chromium Framework Try-in

Mga Kaugnay na Balita
Mag-iwan ako ng mensahe
X
Gumagamit kami ng cookies para mag-alok sa iyo ng mas magandang karanasan sa pagba-browse, pag-aralan ang trapiko sa site at i-personalize ang content. Sa paggamit ng site na ito, sumasang-ayon ka sa aming paggamit ng cookies. Patakaran sa Privacy
Tanggihan Tanggapin